
Philipp. Sci. Lett. 2020 13 (Supplement) 084-091
available online: September 30, 2020
*Corresponding author
Email Address: pgvital@up.edu.ph
Date received: January 15, 2020
Date revised: June 24, 2020
Date accepted: August 29, 2020
Detection of Vibrio parahaemolyticus in fish samples from selected wet markets in Laguna, Philippines, using loop-mediated isothermal amplification (LAMP) and real-time polymerase chain reaction (qPCR)
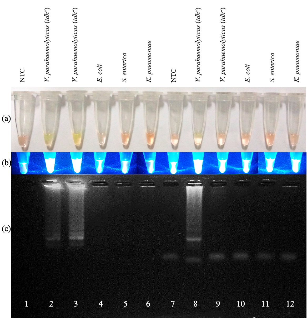
Vibrio parahaemolyticus is known to be the leading cause of seafood-borne bacterial gastroenteritis worldwide, with strains that are pathogenic to both fish and humans. A rapid but cost-effective method of detecting V. parahaemolyticus is therefore necessary as a concern for both food safety and aquaculture maintenance. In the present study, loop-mediated isothermal amplification (LAMP) assays were evaluated and applied in comparison with real-time polymerase chain reaction (qPCR) assays to detect V. parahaemolyticus in flesh, gills, and intestines of Oreochromis niloticus (n = 15) and Chanos chanos (n = 15) samples from three wet markets in Laguna, Philippines. Specifically, assays targeting the tlh and tdh genes, which serve as markers for total and pathogenic V. parahaemolyticus, respectively, were optimized and assessed in terms of analytical specificity and sensitivity. The LAMP assays were found to be 100% specific and capable of detecting as low as 18 pg of DNA per reaction, matching the analytical specificity and sensitivity of the real-time PCR assays. Among fish samples tested, 20% (6/30) were positive for V. parahaemolyticus; none of these possessed the tdh gene. Overall, this study demonstrated the potential of LAMP as a rapid and sensitive alternative for detection of V. parahaemolyticus.
© 2026 SciEnggJ
Philippine-American Academy of Science and Engineering