VOLUME 12 NUMBER 1 (January to June 2019)

PSL%202019 vol12-no01-p68-78-Villegas%20et%20al

Philipp. Sci. Lett. 2019 12 (1) 068-079
available online: April 29, 2019

*Corresponding author
Email Address: lcvillegas1@up.edu.ph
Date Received: July 27, 2018
Date Revised: April 22, 2019
Date Accepted: April 24, 2019

ARTICLE

Serology and DNA-based detection and serotyping of Actinobacillus pleuropneumoniae Pohl from backyard pigs in selected provinces of Luzon, Philippines

by Almagrace A. Velasquez1, Therese Marie A. Collantes2, Wenchie Marie L. Lumbera2, Saubel Ezrael A. Salamat2, Saubel Jaymee R. Encabo3, Bernadette C. Mendoza3, and Lucille C. Villegas*2

1Graduate School, University of the Philippines Los Baños, Laguna, Philippines
2Department of Veterinary Paraclinical Sciences, College of Veterinary Medicine,
     University of the Philippines Los Baños, Laguna, Philippines
3Microbiology Division, Institute of Biological Sciences, College of Arts and Sciences,
     University of the Philippines Los Baños, Laguna, Philippines
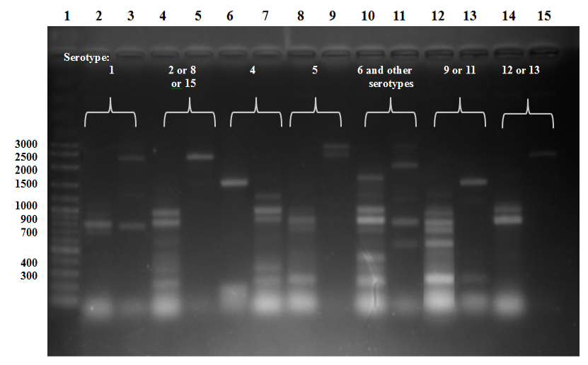
Actinobacillus pleuropneumoniae (APP) is the etiologic agent of porcine pleuropneumonia (PP) and one of the pathogens causing the porcine respiratory disease complex (PRDC). PP and PRDC cause significant losses in the swine industry worldwide, hence, proper and accurate diagnoses are important in implementing appropriate measures to manage and control APP diseases. In this study, serology and DNA-based methods were employed to detect the presence of APP, and multiplex PCR based on Apx genes was used to determine the prevalent APP serotypes, in 397 backyard pigs from eight provincess in Luzon, Philippines. Enzyme Linked Immunosorbent Assay (ELISA) showed that 88 out of 397 serum samples were positive for ApxIV toxin antibodies while 49 out of the 397 oro-nasal swabs DNA extracts were positive for the omlA gene. The ApxIV ELISA results were found to be significantly associated with the number of clinical signs and age of the pigs but not so for the omlA gene PCR results. Significant association (P-value < 0.0001) between a positive ApxIV ELISA result and a positive omlA-PCR result was established. Serotype 5 was determined to be the most prevalent serotype followed by serotypes 1 and 12 or 13. This study confirmed the presence of APP infection in backyard pigs in Luzon. The data generated may provide support in the proper management and control of APP infection through the early detection of subclinical carriers to prevent transmission of the pathogen, as well as in the possible incorporation of the prevalent serotypes in the development of new vaccines.

© 2026 SciEnggJ
Philippine-American Academy of Science and Engineering