
SciEnggJ 17 (Supplement) 331-340
available online: July 29, 2024
DOI: https://doi.org/10.54645/202417SupNFX-98
*Corresponding author
Email Address: atbaliga@up.edu.ph
Date received: October 19, 2023
Date revised: April 11, 2024
Date accepted: April 26, 2024
Structural and molecular alterations in murine tissue due to far-field radiofrequency exposure
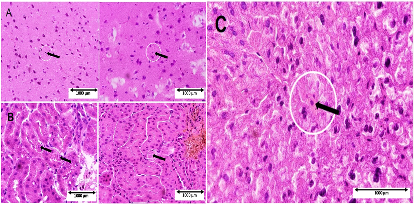
Public concern over exposure to radiofrequency electromagnetic fields has prompted several studies to determine possible health outcomes. However, studies on low level far-field radiofrequency (RF) exposure remain inconclusive on whether it can alter biological systems. Our study's aim was to evaluate structural and molecular modifications such as apoptosis and gene expression in murine brain, liver and kidney tissues exposed to a far-field RF of 915 MHz at a whole-body specific absorption rate of 1.17 W/kg. Forty (40) Swiss male mice were equally and randomly divided into 2 groups: a control group and an RF-exposed group. Each were further equally subdivided (n=5 per subgroup) based on different time points: baseline or no exposure, 3-day exposure, 6-day-exposure and 9-day exposure subgroups. Biometric parameters such as body temperature, body weight, and organ weight were obtained. Tissue samples were collected and analyzed using light and electron microscopy, followed by qPCR assay for both the p53 and Hsp-70 genes. Statistical analysis was performed using ANOVA. There was evidence of both structural and molecular modification beginning Day 3 from continuous-wave far-field RF exposure. The study established multi-level alterations in the murine system due to far field RF exposure providing a glimpse of possible biological effects, and therefore, a need for further studies to translate such evidence in a larger biological perspective.
© 2026 SciEnggJ
Philippine-American Academy of Science and Engineering