
SciEnggJ. 2025 18 (1) 020-027
available online: March 28, 2025
DOI: https://doi.org/10.54645/2025181HVR-89
*Corresponding author
Email Address: aaron.macauyag@gmail.com
Date received: June 29, 2024
Date revised: January 4, 2025
Date accepted: January 6, 2025
A low-cost production method for Bst DNA polymerase (large fragment)
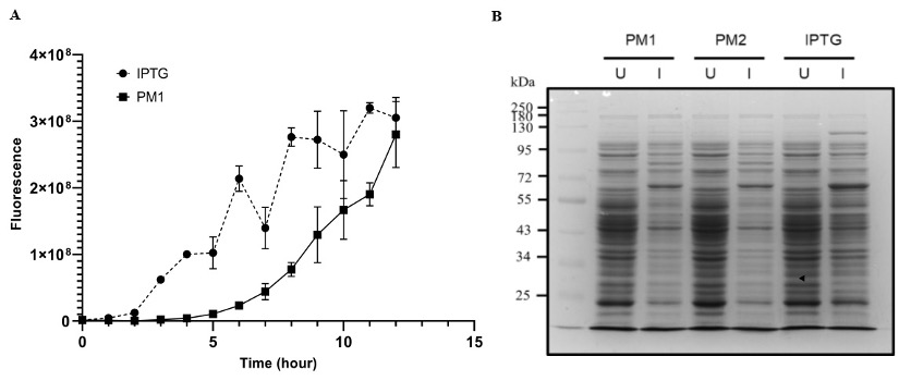
BstLF, the large fragment of Bst DNA polymerase, is a recombinant strand-displacing DNA polymerase derived from Geobacillus stearothermophilus and serves as the primary enzyme utilized in loop-mediated isothermal amplification (LAMP). Recently, the application of LAMP as a convenient and accessible diagnostic tool has gained considerable attention. However, the high cost of reagents presents a significant barrier to the development of LAMP diagnostic kits, limiting accessibility for laboratories in low-resource settings.In this study, we report a low-cost production method for BstLF utilizing more readily available alternative reagents coupled with a simplified purification process. The resulting home-brewed BstLF demonstrated comparable amplification efficiency and maintained thermal and storage stability after 10 months, aligning closely with the performance of the commercially available Bst 2.0 DNA polymerase. Furthermore, we propose this alternative production method to democratize access to LAMP-based diagnostics research. A cost analysis reveals a remarkable 94.17% reduction in the cost per reaction when using the home-brewed BstLF compared to the commercial Bst 2.0 DNA polymerase. Overall, this research introduces a streamlined and cost-effective method for the small-scale production of BstLF, thus facilitating greater access to LAMP assays in areas with limited resources.
© 2026 SciEnggJ
Philippine-American Academy of Science and Engineering